Objednejte se

Registrovaný klient

Na nejčastější ošetření se můžete objednat online.

Objednat se online

Nový klient / Objednat bez registrace

Prosíme vyplňte objednávkový formulář. Obratem se s Vámi spojíme a domluvíme Vám vhodný termín.

Odesláním formuláře udělujete souhlas se zpracováním osobních údajů.

Objednávka online videokonzultace

Poraďte se s lékařem online při videokonzultaci.

Zanechte nám, prosím, své kontaktní údaje a my se s vámi obratem spojíme, domluvíme termín videokonzultace a zašleme vám platební údaje.

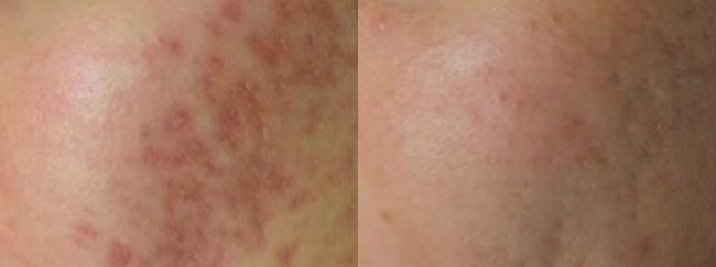
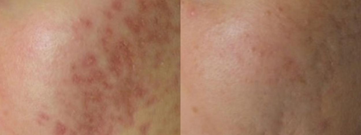
Microneedling pleti

Microneedling pleti

  • Podpora přirozené obnovy pleti a remodelace kolagenu 
  • Pro texturu pleti: póry, jemné linky, nerovnoměrný tón, jizvy po akné
  • Šetrná metoda bez tepla, chemie a injekcí
  • Vhodné pro všechny typy pleti a fototypy (I-VI)
Nejmodernější medicínský microneedling pro vyhlazení jizviček po akné, zjemnění pórů, sjednocení tónu, pevnější a svěží vzhled pleti. Šetrné ošetření, které je vhodné pro všechny fototypy (I-VI), včetně citlivé - s minimální rekonvalescencí a přirozeně působícím výsledkem.
Asklepion

PŘIROZENÝ RESTART PLETI, BEZ TEPLA A BEZ CHEMICKÝCH LÁTEK

CO JE MICRONEEDLING?

Microneedling podporuje přirozenou obnovu pleti tím, že aktivuje proces hojení a tvorbu kolagenu i elastinu. Metoda pracuje bez tepla, chemických látek a invazivních injekcí – cílem je přirozeně pevnější a hladší vzhled.

JAK OŠETŘENÍ PROBÍHÁ?

Nejprve se na pleť nanese znecitlivující krém, aby byl průběh co nejpříjemnější. Poté se vybraná oblast jemně ošetří microneedlingovou technologií, která v kůži vytváří kontrolované mikrokanálky a tím aktivuje přirozený regenerační proces. Během výkonu se používá hydratační gel pro snížení tření a komfortnější ošetření. Celé ošetření pleti je obvykle otázkou zhruba 30 minut.

PRO KOHO JE VHODNÝ?

Microneedling se nejčastěji volí ve chvíli, kdy chcete zlepšit jizvičky po akné a drobné nerovnosti pleti, zjemnit první linky a vrásky a stáhnout rozšířené póry. Pomáhá také sjednotit tón pleti u vybraných typů pigmentových nerovností a zlepšit hrubší texturu či „unavený“ vzhled. U některých klientů může být vhodný i na strie a drobné jizvy – vždy podle typu problému a lokalizace.

OŠETŘOVANÉ OBLASTI

Microneedling nejčastěji provádíme na obličeji, krku, dekoltu a rukou. Podle stavu pleti a cíle ošetření je možné zaměřit se i na další partie – vždy individuálně po konzultaci.

Asklepion

Microneedling pleti - časté otázky a odpovědi

Jak se mám na ošetření připravit?
Na konzultaci se projde zdravotní stav i očekávání. Před ošetřením je důležité chránit pleť před sluncem a podle doporučení odborníka dočasně upravit některé aktivní látky v kosmetice (např. retinoidy) – konkrétní režim se nastavuje individuálně.
Kdy uvidím první změny a kdy bývá “full efekt”?
Výsledek nastupuje postupně. Zlepšení si někteří lidé všimnou během několika týdnů, plnější efekt se obvykle hodnotí až v horizontu měsíců.
Co mám (a nemám) dělat první dny po ošetření?
Klíčové je udržet ošetřovanou oblast čistou a držet se jednoduché péče. Pleť chraňte před sluncem a dodržujte doporučený režim hydratace. Make-up vynechte 48 hodin. První dny se nedoporučuje horká voda, sauna, plavání ani intenzivní sport.
Asklepion

Magazín Asklepion

Magazín 2026 Magazín 2025 Magazín 2024 Magazín 2023 Magazín 2022

Vážíme si vašeho soukromí

Na našich webových stránkách používáme soubory cookies, které jsou nutné k funkci webu. Abychom mohli lépe přizpůsobovat obsah tomu, co vás skutečně zajímá, potřebujeme váš souhlas.

Souhlas můžete vyjádřit kliknutím na tlačítko "Přijmout všechny cookies" a můžete jej kdykoli odvolat. Jeho udělením nám dovolíte využívat data o vašem chování na webu za účelem zobrazení cílené reklamy na sociálních sítích a jiných webových stránkách.

Nastavení cookies můžete kdykoli změnit v sekci „informace o cookies“.