Консультация

Видео-консультация

Пожалуйста, оставьте свои контактные данные.

Мы с Вами оперативно свяжемся и согласуем время консультации.

Посоветуйтесь с пластическим хирургом во время онлайн консультации.

Пожалуйста, оставьте свои контактные данные. Мы с Вами оперативно свяжемся и согласуем время консультации.

Фактом отправки формы вы соглашаетесь на обработку персональных данных.

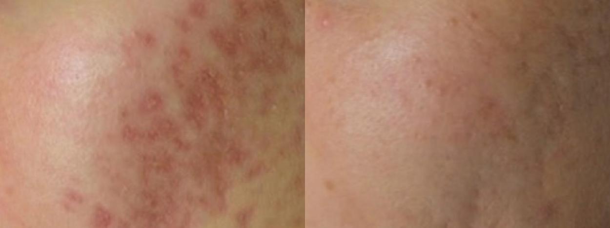
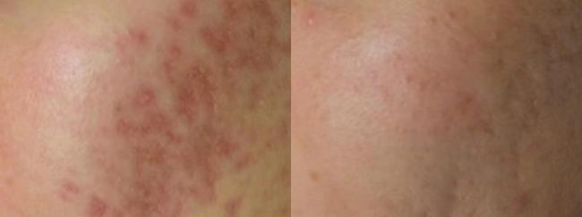
Микронидлинг кожи

Микронидлинг кожи

  • Поддержка естественного восстановления кожи и ремоделирования коллагена.
  • Для текстуры кожи: поры, мелкие морщинки, неровный тон, шрамы от акне.
  • Бережный метод без нагрева, химических веществ и инъекций.
  • Подходит для всех типов кожи и фототипов (I-VI).

Современный медицинский микронидлинг применяют для уменьшения шрамов от акне, сужения пор, выравнивания тона, для упругости и омоложения кожи. Бережное лечение, подходящее для всех фототипов (I-VI), включая чувствительную кожу, с минимальным восстановительным периодом и естественным результатом.

Asklepion

ЕСТЕСТВЕННЫЙ ПРОЦЕСС ВОСССТАНОВЛЕНИЯ КОЖИ, БЕЗ НАГРЕВА И БЕЗ ХИМИЧЕСКИХ ВЕЩЕСТВ

ЧТО ТАКОЕ МИКРОНИДЛИНГ?

Микронидлинг способствует естественному восстановлению кожи, активируя процессы заживления, выработку коллагена и эластина. Метод работает без применения тепла, химических веществ и инвазивных инъекций – цель состоит в том, чтобы кожа стала более упругой и гладкой.

КАК ПРОХОДИТ ПРОЦЕДУРА?

Прежде всего, на кожу наносится обезболивающий крем, чтобы процедура была максимально комфортной. Затем выбранная область аккуратно обрабатывается с помощью технологии микронидлинга, которая создает в коже контролируемые микроканалы, активируя естественный процесс регенерации. Для уменьшения трения и более комфортного лечения во время процедуры используется увлажняющий гель. Вся процедура по уходу за кожей обычно занимает около 30 минут.

ДЛЯ КОГО ОН ПОДОЙДЕТ?

Микронидлинг чаще всего выбирают, когда нужно улучшить состояние шрамов после акне и мелких неровностей кожи, уменьшить первые морщинки и убрать расширенные поры. Микронидлинг помогает выровнять тон кожи при некоторых типах пигментных неровностей и улучшить грубую текстуру или «уставший» вид. Для некоторых клиентов он может быть подходящим и для уменьшения растяжек и мелких шрамов — всегда в зависимости от типа проблемы и ее локализации.

ОБРАБАТЫВАЕМЫЕ ОБЛАСТИ

Чаще всего микронидлинг проводится на лице, шее, декольте и руках. В зависимости от состояния кожи и цели лечения можно сосредоточиться и на других участках – индивидуально после консультации.

Asklepion

Микронидлинг кожи - FAQ

Как подготовиться к процедуре?
На консультации врач собирает анамнез и уточняет какой эффект от процедуры стоит ожидать. Перед процедурой очень важно защищать кожу от солнца (чтобы она не была загорелой). Далее, по рекомендации специалиста, нужно будет временно скорректировать некоторые активные вещества в косметике (например, ретиноиды) - конкретный режим устанавливается индивидуально.
Когда я увижу первые изменения и когда наступит «полный эффект»?

Результат наступает постепенно. Некоторые люди замечают улучшение в течение нескольких недель, окончательный результат можно будет оценить через несколько месяцев.

Что я могу (и не могу) делать в первые дни после процедуры?

Главное - необходимо соблюдать чистоту обработанной области и соблюдать простые правила ухода. Защищайте кожу от солнца и соблюдайте рекомендуемый режим увлажнения. В течение 48 часов не наносите макияж. В первые дни не рекомендуется принимать горячую воду, посещать сауну, плавать и заниматься интенсивными видами спорта.

Asklepion Magazin

Magazín 2026 Magazín 2025 Magazín 2024 Magazín 2023 Magazín 04/19

Мы ценим вашу конфиденциальность

Мы используем файлы cookie на нашем сайте, поскольку они необходимы для его функционирования. Для того, чтобы лучше адаптировать наш контент к тому, что вас действительно интересует, нам необходимо ваше согласие.

Вы можете дать свое согласие, нажав на кнопку "Принять все файлы cookie". Свое согласие вы можете отозвать в любое время. Давая свое согласие, вы позволяете нам использовать данные о вашем поведении на сайте, чтобы показывать вам целевую рекламу в социальных сетях и на других сайтах.

Вы можете в любое время изменить настройки файлов cookie в разделе „Информация о файлах cookie“.